
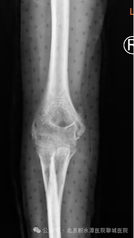
近日,我院小儿骨科刘景一主任团队成功为10岁肱骨内上髁骨折患儿实施“切开复位+可吸收螺钉内固定术”。手术既实现骨折精准复位,更凭可吸收螺钉的技术创新,彻底免除患儿二次取钉之痛,标志着我院在儿童骨折“微创化、少创伤”诊疗领域再迈新阶。 患儿为10岁男孩,因“右肘疼痛、活动受限3天”入院。3天前其户外活动时摔倒,右手肘着地后剧痛,肘关节无法屈伸。家长初判为轻微磕碰,冷敷后让孩子居家休息,未进一步处理。随后3天,患儿肘部疼痛加剧,穿衣、持物均无法完成,关节肿胀明显,家属遂紧急带其来院就诊。 刘景一主任团队迅速诊疗:查体发现患儿右肘关节内侧压痛显著,屈伸等基础动作受限;肘关节X线检查明确“右侧肱骨内上髁骨折”——该骨折是8-12岁儿童肘部高发损伤,多因摔倒时手部撑地引发,若延误治疗,易致骨折移位加重,遗留关节畸形、功能障碍等问题。 (术前) 团队综合评估后确定方案,患儿受伤已3天,骨折部位肿胀,传统保守治疗难保证断端精准对位,风险较高;结合其年龄与骨折类型,最终选择“切开复位+可吸收螺钉内固定术”。术前,医护团队完善血常规、凝血功能等检查,确认患儿符合手术条件,并与家长沟通方案、风险,缓解其焦虑。手术当日,在麻醉团队配合下,刘景一主任带领团队操作:于患儿肘关节内侧做小切口,分离组织、暴露断端,清理软组织卡压与血凝块后,凭借丰富的临床经验和精湛的操作技术将骨折块复位至正常位置,随后植入大小适配的可吸收螺钉。该螺钉由生物相容性材料制成,将随骨骼愈合在1-2年内逐渐吸收,无需二次手术。手术历时约1小时,出血少、复位准。术后,团队定制护理方案:前3天局部冷敷消肿止痛,按需用儿童镇痛药;定时换药、观察切口,保持干燥防感染。目前患儿已出院,医护人员告知家属护理要点、康复计划及复查时间,根据恢复情况调整康复方案,确保孩子能早日恢复正常生活,重返校园。 (术后) 此次手术的成功,彰显我院小儿骨科技术实力,更践行“以患儿为中心”的理念,打破传统金属螺钉需二次手术的局限。未来,我院小儿骨科将持续深耕儿童骨骼疾病诊疗,以技术创新优化方案;同时发挥区域辐射作用,推动周边儿童骨科微创诊疗规范化,为守护儿童骨骼健康、护航孩子成长构建更坚实的医疗屏障。