
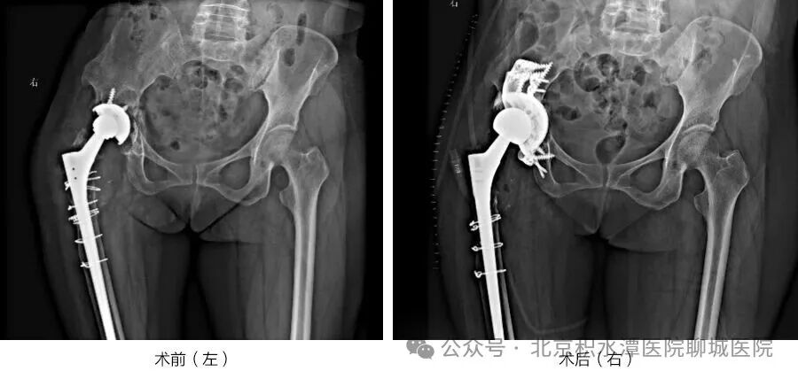
近日,61岁的宁夏中卫患者王先生,在家人的搀扶下缓缓走出北京积水潭医院聊城医院病房。他稳稳迈出右腿,感受着三十余年来从未有过的髋关节轻松感,脸上终于露出释然的笑容。这一步,他在病痛中煎熬了四年,更在全国多家医院的婉拒中等待了一年。 王先生有着长达三十余年的髋关节病史,曾经历两次髋部手术。近四年来,他的右髋疼痛反复发作,行走功能严重受限,日常起居都需家人照料。一年前,CT检查确诊其为“右髋关节置换术后髋臼假体周围骨折并假体松动”,这一诊断让他辗转宁夏、陕西、甘肃等多地医院,却因手术涉及“髋臼骨缺损Paprosky III型”这一关节外科领域的高难度病变——髋臼骨量严重丢失,常规假体无法固定,且合并骨盆横断骨折,多家医院均未获得理想治疗方案。偶然间,王先生得知作为国家区域医疗中心医院的北京积水潭医院聊城医院,在复杂关节疾病诊疗领域实力雄厚,慕名来到徐辉副院长的门诊。 接诊后,医院高度重视,立即启动多学科协作机制。关节外科、麻醉科、创伤骨科专家迅速集结,共同对王先生的病情展开全面评估。考虑到病情的复杂性与手术的高风险性,团队决定引入创新技术——借助3D打印技术精准复制患者髋臼模型,通过术前模拟反复推敲手术细节,最终确定了“髋臼后柱钢板固定+髋臼三翼加强杯联合植骨”的个性化重建方案,这一方案也成为全省首例采用该组合技术治疗Paprosky III型髋臼骨缺损的案例。 手术当日,在麻醉团队的严密监测与保障下,关节外科徐辉院长主刀施治。术中,团队精准取出松动假体,细致清理瘢痕组织;创伤骨科副主任李浩随后完成髋臼后柱固定,将3D打印定制的髋臼加强杯精准植入骨缺损区域,同步进行植骨操作;最后顺利安装新型股骨头假体,并反复测试关节活动度与稳定性。整台手术历时仅2.5小时,出血少、视野清,各项指标均完美达到预期。 此次高难度手术的成功,不仅彰显了北京积水潭医院聊城医院作为国家区域医疗中心医院的技术引领作用,更体现了创新技术与多学科协作在攻克疑难重症中的关键价值。目前,北京积水潭医院聊城医院服务范围已扩展至全国29个省份,累计为数百名跨省患者解决了骨科、烧伤科疾病困扰,用精湛医术与暖心服务搭建起跨越千里的健康桥梁,为更多患者的康复之路点亮了希望。